こんにちは。
東京都あきる野市にありますきらら歯科の歯科衛生士です。
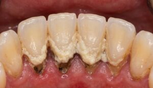
本日はお口の中の汚れ『歯石』についてお話させていただきます!
■ 歯石とは?
歯石とは、
👉 歯垢(プラーク)が固まって石のようになったものです。
歯垢は毎日の歯磨きで落とせますが、
歯石になってしまうと
👉 歯ブラシでは除去できません。

そのため、歯科医院でのクリーニングが必要になります。
■ 歯石を放置するとどうなる?
「痛くないから大丈夫」と思っていませんか?
実は歯石を放置すると、次のようなリスクがあります。
① 歯周病が進行する
歯石の表面はザラザラしているため、
👉 細菌が付きやすくなります。
その結果
- 歯ぐきの腫れ
- 出血
- 口臭
といった症状が出てきます。

さらに進行すると
👉 歯を支える骨が溶けてしまいます。
② 口臭が強くなる
歯石の中や周囲には多くの細菌が存在します。
👉 これらがガスを発生させることで、
強い口臭の原因になります。

③ 見た目が悪くなる
歯石は
- 黄ばみ
- 茶色い汚れ
として見えることがあります。
👉 清潔感にも大きく影響します。

④ 歯がぐらつく・最悪抜歯に
歯周病が進行すると
- 歯を支える骨が減る
- 歯がぐらつく
最終的には
👉 歯を抜かなければならないケースもあります。

■ 歯石は自分で取れる?
👉 取れません。
市販の器具で無理に取ろうとすると
- 歯や歯ぐきを傷つける
- 逆に歯石が残る
といったリスクがあります。
■ 歯科衛生士が行うケア
歯科医院では
- 歯石除去
- PMTC
などを行い、歯石と細菌をしっかり除去します。
👉 痛みに配慮しながら丁寧に行いますのでご安心ください。

■ 当院での取り組み
きらら歯科では
- 国家資格を持ち院内研修を受けた歯科衛生士が担当
- 丁寧で痛みに配慮したクリーニング
- 歯周病の早期発見・管理
を行っています。
「しばらく歯医者に行っていない…」という方も、
お気軽にご相談ください。
■ まとめ
歯石は
👉 放置しても自然に治ることはありません。
むしろ
- 歯周病
- 口臭
- 見た目の悪化
といったリスクを高めてしまいます。
👉 早めのケアが大切です。当院では年中無休にて診療を行っております。
お気軽にご相談ください。

